Det anbefales at man får undersøkt tenner og munnhule hos tannlege eller tannpleier regelmessig. Hvor ofte varierer fra person til person, men for de fleste vil tannlegeundersøkelse én gang per år være tilstrekkelig.
Klinisk tannlegeundersøkelse

Ved en undersøkelse vil man foreta en grundig kontroll av tenner og tannkjøtt. Tungen, munnhulens slimhinner, samt kjeveledd og tyggemuskler undersøkes også. Slik vil man kunne kartlegge hvilket behandlingsbehov pasienten har, og basert på dette lage en plan for behandling. En klinisk undersøkelse er likevel ikke nok til å avdekke alle typer sykdom i munnhulen.
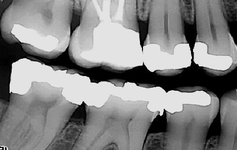
Røntgenbilder
Tannlegen må vurdere behovet for å ta røntgenbilder i forbindelse med undersøkelsen. Røntgenbilder brukes for å diagnostisere sykdommer i de deler av tennene som ikke er synlige i munnen. I tillegg kan de avdekke patologi i kjevene. Eksempler på slike sykdommer kan være hull under gamle fyllinger eller kjevecyster. I tillegg kan røntgenbilder tatt over flere år sammenlignes. På denne måten kan man vurdere hvorvidt en tilstand har utviklet seg eller ikke, som for eksempel et begynnende hull.
Det finnes forskjellige former for røntgenbilder. Ved en regelmessig tannlegeundersøkelse er det vanligvis såkalte bitewings som benyttes. Bitewings gir tannlegen informasjon om blant annet hull i tennene, begynnende hull og kvaliteten til gamle fyllinger. De kan også si noe om tennenes feste og avdekke tegn til periodontitt (tannløsningsykdom). Ved behov kan bitewing-bildene suppleres med små bilder av avgrensede områder, som for eksempel bilder av tannrøtter.
Panoramarøntgen (OPG) er en type oversiktsbilde som kan benyttes der behandlingsbehovet er stort. Det kan være en fordel med OPG ved planlegging av behandling med implantat, eller dersom visdomstenner skal opereres ut. Panoramabilder er som regel ikke like detaljert som de vanlige røntgenbildene. I enkelte tilfeller kan det derfor være nødvendig å supplere med slike.
Mengden med stråling som man blir utsatt for ved røntgenopptak, er svært liten med dagens teknologi. Dette gjelder både for vanlige røntgenbilder og panoramarøntgen. Det anses ikke som noen helserisiko å ta røntgenbilder, heller ikke for barn eller gravide. Man må likevel huske på at det er frivillig å ta røntgenbilder. Om man velger å la være, så kan imidlertid resultatet bli at tannlegen ikke kan foreta en god nok undersøkelse av tennene.
Fjerning av tannstein, puss og polering
Etter en tannlegeundersøkelse er det vanlig at tannlegen eller tannpleieren fjerner tannstein og misfarging fra tennene. Tannsten består for det meste av kalkstoffer fra spyttet, som avleires og legger seg på tannflaten som et hardt belegg. Det sitter så godt fast at det er nærmest umulig å fjerne på egenhånd med tannbørste. Mye av det vi inntar i det daglige kan misfarge tennene. Dette gjelder for eksempel kaffe, te, røyk, snus og rødvin. Slike misfarginger legger seg som et mørkt belegg på tennenes overflate og kan være vanskelige å fjerne selv.
Tannlegen eller tannpleieren har muligheten til å fjerne både tannsten og overfladisk misfarge ved å rense, pusse og polere tennene. Tannsten fjernes enten med maskin eller ved å skrape den bort med håndinstrumenter. Misfarginger kan poleres bort med en spesiell pussepasta som inneholder ekstra slipemiddel. Alternativt går det an å benytte saltblåsing for å fjerne misfargingene.
Klinisk bildegalleri
Video




